Eugenia Silva sorprende a todos en sus redes sociales con unas imágenes tomadas desde el hospital. La modelo, de 49 años, ha querido romper su silencio sobre una situación muy difícil para ella y compartir, con la serenidad y elegancia que la caracterizan, un momento delicado en su vida. “Os he echado de menos… Ese cariño que me regaláis cada día es algo muy especial, y estos días de silencio también me han hecho sentirlo.”, comienza diciendo en su mensaje, publicado junto a una serie de fotografías que muestran su estancia en el hospital.
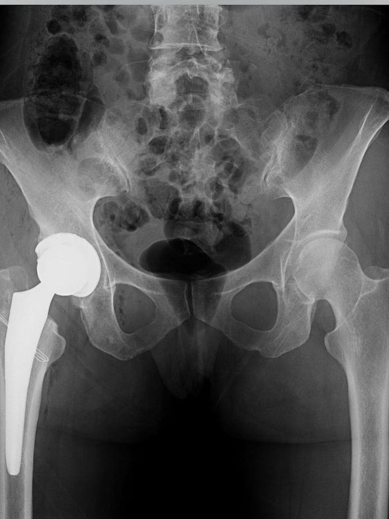
“Estas fotos os la hice para compartir lo que no siempre se muestra.” Así explicaba su decisión de mostrar una parte más íntima y poco habitual de su vida. La modelo, muy activa en redes sociales, ha querido hablar con naturalidad sobre el motivo de su ingreso. “Hace unos días me operaron por unas lesiones debidas a una artrosis severa en la cadera. Me han puesto una prótesis de titanio. Era necesario. El dolor ya no me permitía seguir con mi ritmo habitual. Este mes de septiembre ha sido especialmente retador.”
Con estas palabras, la modelo desvela que llevaba tiempo sufriendo molestias que se habían vuelto incompatibles con su ritmo profesional. Acostumbrada a un día a día lleno de viajes, sesiones de fotos y compromisos empresariales, Eugenia confiesa que la decisión no ha sido fácil. “No es fácil asumir algo así, sobre todo cuando tu carrera está tan ligada a la imagen, al movimiento, al cuerpo en acción… O porque muchas veces asociamos este tipo de intervenciones a etapas más avanzadas de la vida.”
Sin embargo, Eugenia afronta este proceso con una actitud de calma y reflexión. “Pero aquí estoy. Cuidándome. Escuchándome. Y entendiendo que estar bien también es esto: parar.” Finalmente, promete mantener a sus seguidores al tanto de su evolución. “Os iré contando, desde casa, cómo va evolucionando esta nueva etapa.”
Una etapa de recuperación y reflexión
A sus 49 años, Eugenia Silva sigue siendo uno de los rostros más emblemáticos del mundo de la moda española. Licenciada en Derecho, madre de dos hijos y con una carrera internacional consolidada, la modelo ha sabido combinar su faceta profesional con su papel de empresaria y madre. La artrosis severa de cadera, una dolencia degenerativa que provoca dolor y limita la movilidad, suele requerir cirugía cuando los tratamientos ya no alivian los síntomas. En el caso de Eugenia, la colocación de una prótesis de titanio ha sido la solución necesaria para recuperar la calidad de vida y poder volver, poco a poco, a su actividad habitual.
La intervención, realizada por el Doctor Luis Novoa y su equipo en Clínica CEMTRO. “Gracias por estar cerca también en estos momentos y gracias al Dr. Novoa, la Dra. Ruiz y todo el equipo de la clínica”, escribió como agradecimiento.
El proceso de recuperación incluye fisioterapia progresiva y control médico continuado, algo que Eugenia afronta con determinación y optimismo.










